首页
Home
微笑品牌
Smile Brand
微笑特科
Smile Department
微笑时讯
Smile News
微笑专线
Smile Hotline
在线留言
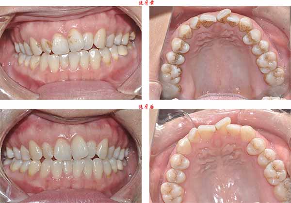
日期:2018-05-08 浏览量:0 来源:微笑牙科 分享到:
姓名:彭先生
主诉:牙齿色渍比较多,感觉不美观
治疗方案:超声波洗牙
牙齿有色渍怎么办?
日期:2018-05-08 浏览量:0 来源:微笑牙科 分享到:
姓名:彭先生
主诉:牙齿色渍比较多,感觉不美观
治疗方案:超声波洗牙